企业名称:山东龙昌华瑞生物科技有限公司
生产基地:山东省齐河宣章工业园
服务热线:18615208115(微信同步)
网址:www.fungreetz.com
邮箱:hrmuye@163.com
QQ:3323006482
传真:0534-5473167
地址:山东济南市槐荫区齐州路2999号绿地中央广场B座1705
日粮或饮水中添加二甲酸钾对鸡抗白痢沙门氏菌感染的影响
在这项研究中,使用鸡感染模型来研究二甲酸钾对白痢沙门氏菌感染的保护作用(图 1A)。


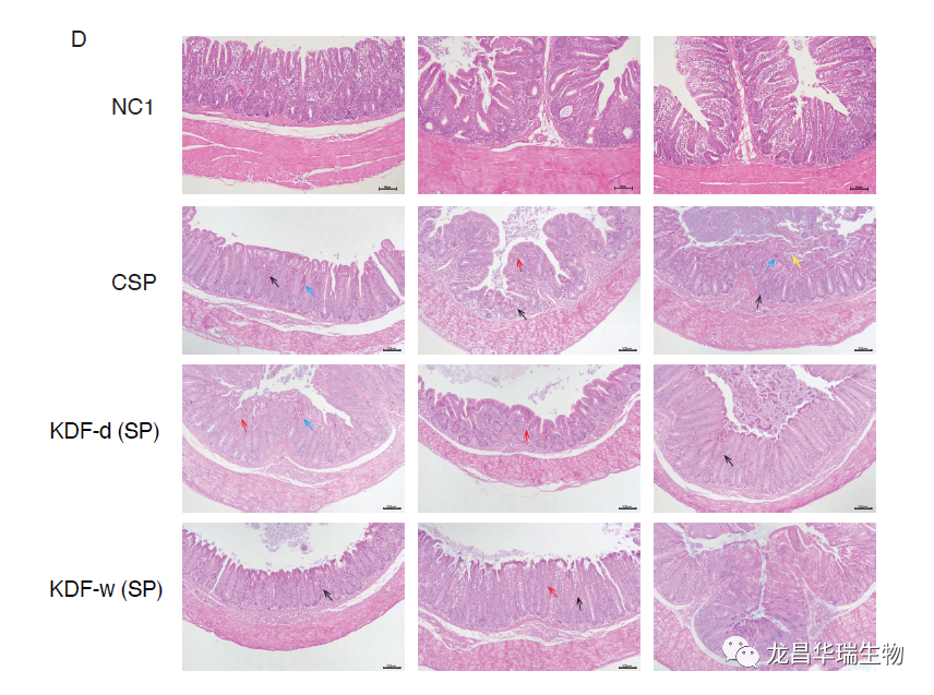
图2 . 二甲酸钾降低了鸡只对白痢沙门氏菌的敏感度。B,白痢沙门氏菌在盲肠的定殖;


上述结果表明,二甲酸钾能有效抑制白痢沙门氏菌定植,缓解白痢沙门氏菌引发的鸡盲肠消化功能下降。饮水二甲酸钾处理的效果比日粮处理更有效。此外,组织病理学分析表明,感染对照的鸡盲肠的整体结构在感染后第7 天时出现异常,表现为血管扩张和充血,炎症细胞浸润,杯状细胞显著减少(图 2D)。相反,日粮/饮水二甲酸钾处理组鸡的盲肠结构正常,完整性好,只有轻微的炎症细胞浸润和杯状细胞减少(图 2D)。上述结果表明,在日粮或水中添加二甲酸钾可以减少鸡盲肠的感染细菌数量和病理变化,从而有效预防白痢沙门氏菌感染。
文章来源:
二甲酸钾可防止肉鸡白痢沙门氏菌感染并影响肠道菌群
The Feed Additive Potassium Diformate Prevents Salmonella enterica Serovar Pullorum Infection and Affects Intestinal Flora in Chickens