企业名称:山东龙昌华瑞生物科技有限公司
生产基地:山东省齐河宣章工业园
服务热线:18615208115(微信同步)
网址:www.fungreetz.com
邮箱:hrmuye@163.com
QQ:3323006482
传真:0534-5473167
地址:山东济南市槐荫区齐州路2999号绿地中央广场B座1705
作为饲料添加剂的抗生素替代品二甲酸钾(KDF)已知可以提高动物的生长性能,但其对细菌感染的预防作用及对肠道菌群的影响的研究较少。本研究在体外和鸡感染模型上检测了二甲酸钾对导致白痢病的重要肠道病原体肠白痢沙门氏菌的抑制作用。使用 16S rRNA测序研究了二甲酸钾对鸡十二指肠和盲肠菌群多样性和结构的影响。结果表明,在饲料中添加0.5% 二甲酸钾或在饮水中添加0.1% 二甲酸钾可显著降低感染白痢沙门氏菌鸡的盲肠细菌负荷和病理变化程度,改善消化,降低胃肠道 pH 值。二甲酸钾还显著改变了鸡肠道菌群的多样性和丰度,促进了几种益生菌的定殖,如拟杆菌属、布劳特氏菌属、瘤胃球菌属和粪杆菌,这些益生菌参与维持肠道屏障、调节炎症、为肠道细胞提供能量和抵抗病原体。本研究结果丰富了二甲酸钾在鸡上临床应用的理论基础。

附表 试验处理方案

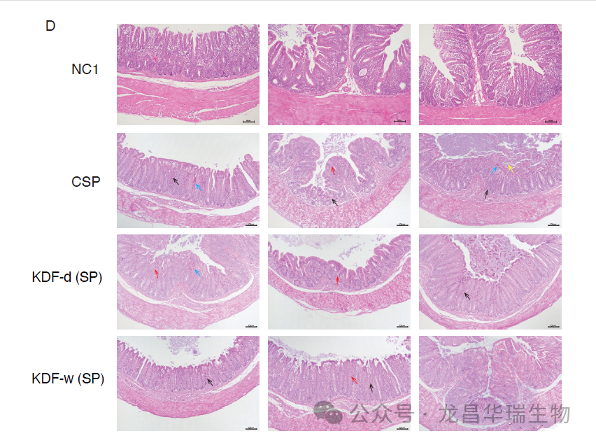
02  试 验 结 果 2.1 日粮或饮水中添加二甲酸钾对鸡抗白痢沙门氏菌感染的影响 在这项研究中,使用鸡感染模型来研究二甲酸钾对白痢沙门氏菌感染的保护作用(图 1A)。 图2 . 二甲酸钾降低了鸡只对白痢沙门氏菌的敏感度。B,白痢沙门氏菌在盲肠的定殖; 上述结果表明,二甲酸钾能有效抑制白痢沙门氏菌定植,缓解白痢沙门氏菌引发的鸡盲肠消化功能下降。饮水二甲酸钾处理的效果比日粮处理更有效。此外,组织病理学分析表明,感染对照的鸡盲肠的整体结构在感染后第7 天时出现异常,表现为血管扩张和充血,炎症细胞浸润,杯状细胞显著减少(图 2D)。相反,日粮/饮水二甲酸钾处理组鸡的盲肠结构正常,完整性好,只有轻微的炎症细胞浸润和杯状细胞减少(图 2D)。上述结果表明,在日粮或水中添加二甲酸钾可以减少鸡盲肠的感染细菌数量和病理变化,从而有效预防白痢沙门氏菌感染。 文章摘自:二甲酸钾可防止肉鸡白痢沙门氏菌感染并影响肠道菌群 The Feed Additive Potassium Diformate Prevents Salmonella enterica Serovar Pullorum Infection and Affects Intestinal Flora in Chickens



